Terug naar alle evenementen

Masterclass Gebitsslijtage

  • De Alchemist 2 2 Europalaan Utrecht, UT, 3526 KS Netherlands (kaart)

Masterclass Gebitsslijtage

met topspecialist Hans van Pelt

DNTSTRY University presenteert in samenwerking met Dental Best Practice de Masterclass Gebitsslijtage volgens het concept ‘Het beste van Hans van Pelt in één dag’. Alle highlights en laatste insights van dit vakgebied kant-en-klaar aangeleverd binnen een hoog interactieve setting van gelijkgestemde collega’s. 

Blijf maandelijks in verbinding met oud-studiegenoten & collega’s en sluit je aan bij DNTSTRY University - The Ultimate Dental Peergroup.

Stay Connected. Stay Inspired.

Voor een leven lang inspiratie, plezier en groei in je tandheelkunde.

Tickets

Studententarief? Gebruik dan de code ‘Student’

Maximaal 15 tickets beschikbaar!


Inhoud

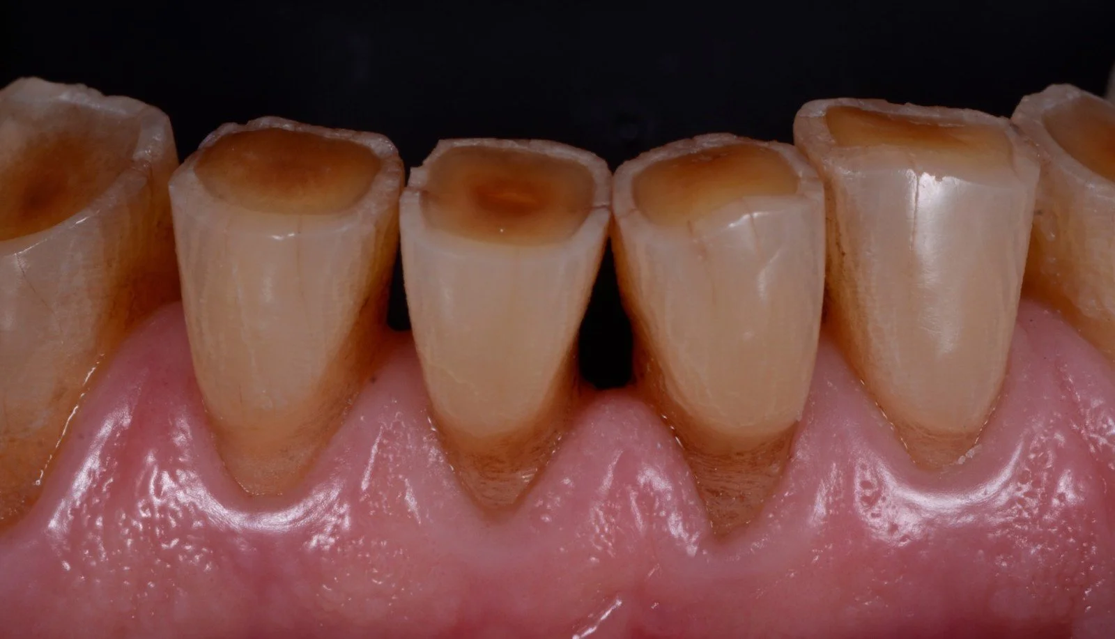
Tijdens deze theoretische cursus leer je wanneer gebitsslijtage behandeld moet worden voordat er kronen, bruggen of implantaten in de zijdelingse delen gemaakt gaan worden. Dit is namelijk van groot belang voor de prognose van kostbare constructies in de zijdelingse delen.

Modelanalyses en aanbrengen van front-hoektandgeleiding komen uitgebreid aan de orde. Ook zal worden ingegaan op het belang om de dynamische occlusie met behulp van digitale analysetechnieken (T-scan) te analyseren, omdat deze veel nauwkeuriger is dan articulatiepapier en artishimstock.

Tevens wordt tijdens deze cursus ingegaan op het belang van occlusie en articulatie voor de levensduur van indirecte voorzieningen.


Docent

DR. HANS VAN PELT
RESTAURATIEF TANDARTS EN EPA ERKEND PROSTHODONTIST

Hans van Pelt (1954) studeerde Tandheelkunde aan de Rijksuniversiteit Groningen van 1972 tot 1978. Van 1978-1985 was hij full time verbonden aan de vakgroep Prothetische Tandheelkunde. Daarna startte hij een algemene (groeps)praktijk in 1984 en werkte daar tot 1999. Van 1991 - 2011 was hij verbonden aan het Martiniziekenhuis in Groningen voor prothetische en restauratieve behandelingen in samenwerking met de afdeling Mond-Kaak en Aangezichtschirurgie. In 2004 heeft hij er een Afdeling Bijzondere en Restauratieve Tandheelkunde opgezet dat in 2011 is overgegaan in een CBT. Sinds 2000 is hij weer verbonden aan het Centrum Tandheelkunde en Mondzorg van het Universitair Medisch Centrum Groningen, Sectie Orale Functie. Hij is er belast met onderwijs in ‘Fixed and Removable Prosthodontics’.


Leerdoelen

Na afloop van deze cursus weet je:

  • het verschil tussen fysiologische en pathologische slijtage

  • wanneer de anatomie hersteld moet worden

  • hoe front-hoektandgeleiding kan worden

  • waarom front-hoektandgeleiding aanbrengen en waarom dit de levensduur van kronen en bruggen bepaalt

  • welke technieken er zijn om de dynamische belasting nauwkeurig te meten en vast te leggen met digitale technieken


Overige info
De mogelijkheid bestaat om eigen casussen te bespreken. Daarvoor moeten deze gemonteerd zijn in een Artexarticulator of gemonteerd kunnen worden in een Artexarticulator welke aanwezig is

Doelgroep en niveau
Deze cursus is geschikt voor tandartsen. Het niveau van de cursus is afgestemd op tandartsen die als algemeen practicus werken. Zij hebben klinische ervaring en willen hun kennis en vaardigheden verbeteren.

Duur van de cursus
Het betreft een 1-daagse cursus. De cursus begint om 09.30 uur en eindigt omstreeks 17.00 uur.

Studiebelasting
De efficiënte studiebelasting bedraagt exclusief pauzes ca. 6 uur voor de duur van de cursusdag. Aanwezigheid wordt beloond met 6 KRT-punten of vrije studieuren.

Eerdere gebeurtenis: 20 november
Masterclass Endodontologie
Latere gebeurtenis: 22 januari
Masterclass Persoonlijke Ontwikkeling